랜덤박스
달성률 0%
공지사항
영상API샘플
영상API문의
고객센터
로그아웃
로그인 이후 컨텐츠 이용이 가능합니다.
간편 회원가입
아이디 찾기
|
비밀번호 찾기
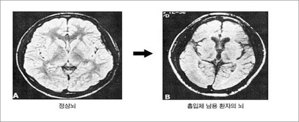
본드랑 가스 빨면 뇌 이렇게 된다는디
오혼오
|
조회 : 164
|
댓글 : 2
|
추천 : 1
|
등록일 : 2025-11-23 오전 7:13:35
목록으로 돌아가기
★게시글 추천하기
뇌 쭈글 ~ 쪼글
목록으로 돌아가기
★게시글 추천하기
게시물에 댓글쓰기
로그인이 필요한 기능입니다.
댓글모음
닥터전자레인지
뇌 다이어트 했네
- 11/23 11:27:25
방구석여포
한상협이 뇌네 ㅋ ㅋ ㅋ ㅋ
- 11/23 11:27:34
분류
제목
작성자
등록일
조회
추천
일반
하ㅏㅏㅏㅏㅏ 킹꼴라 진짜 약속 1도 안지키내
[2]
루원시티
11/23
205
2
일반
ㅡㅡㅡㅡㅡ오늘은 빨간맛!!!!!! 제육+고추장수제비ㅡㅡㅡㅡㅡ
[2]
루원시티
11/23
167
2
일반
나들이2 먹방~~~~~~@@@@건배
[4]
황군이다
11/23
161
3
일반
나들이 1. 입성완료 ♡
[4]
황군이다
11/23
197
4
일반
@@@@지옥의조카라이벤트@@@@
[7]
킹카라등장여
11/23
217
1
일반
이커피 먹어본사람 있냐?
[3]
황군이다
11/23
187
1
일반
후...퇴근햇다 킹바페..오늘도 물빼자 레인지 큿흠
[3]
킹카라등장여
11/23
194
1
일반
현역 장미란
흐득흐
11/23
160
0
일반
춘리vs장미란(현역)
그것이알고싶다
11/23
161
0
일반
이래도 신봉선이가?
[1]
흐득흐
11/23
174
1
일반
본드랑 가스 빨면 뇌 이렇게 된다는디
[2]
오혼오
11/23
164
1
일반
오리지널 국산호두..ㅋ
황군이다
11/23
181
0
일반
겨울 조기축구 필수템
[2]
그것이알고싶다
11/23
167
2
일반
ㅡㅡㅡㅡㅡ편육을 위하여!!!!!!!!ㅡㅡㅡㅡㅡ
[2]
루원시티
11/22
178
2
일반
물건너온 물~~~@@
[1]
황군이다
11/22
186
0
일반
@@@지옥의조카라 여포우승기뷰 777만이벤트@@@
[14]
킹카라등장여
11/22
256
1
일반
ㅡㅡㅡㅡ어무이가 만들어준 김치만두 ㅡㅡㅡㅡㅡ
[6]
루원시티
11/22
201
3
일반
@@@지옥의조커바카라이벤트@@@@(보크후원ㅎㄷㄷㄷ)10명모집
[11]
킹카라등장여
11/22
274
1
일반
맛 쥑이네잉 ~~~
[4]
황군이다
11/22
191
5
일반
크록스 신상이다 ㄱㄱㄱ
내야추에룰루궁
11/22
172
0
◀
이전
21
22
23
24
25
26
27
28
29
다음
▶
해달별
하늘의 최강자를 가린다!
바카라
두근두근 악마의 게임!
스피드 바카라
쉴틈이 없다! 더욱 빠르게!
조커 바카라
조커는 두배? 재미도 두배!
포커
최고의 패를 쥐어라!
페어게임
아슬아슬한 한끗 승부!
스카이 홀짝
둘중 하나만 골라 홀 OR 짝?
드래곤 타이거
최강은 누구인가?
스카이 블랙잭
버스트인가 메이드인가? 한장 더!
삼치기
그시절 우리가 좋아했던 게임
주사위
행운을 굴려보자!
스카이 룰렛
판은 오늘도 돌고있다
해적게임
좌크냐! 우크냐! 칼을 던져보자!